szolgáltatások
komplex szolgáltatásportfólió
Szolgáltatások
állapotfelmérés
Általános állapotfelmérés
Az állapotfelmérés során átvizsgáljuk a fogat, a fogínyt, majd a még pontosabb diagnózishoz digitális panoráma röntgenfelvételt készítünk és ezek alapján összeállítjuk a szükséges feladatokat, amikről kezelési tervet is készítünk. A panoráma röntgenfelvétel segít abban, hogy a fogak és az íny szabad szemmel nem látható részén az esetleges gyulladást vagy egyéb eltéréseket felfedezzük.
Az állapotfelmérésen készült kezelési tervet elküldjük Önnek, ebben a javasolt kezelések szerepelnek, azok díjával együtt. Ezáltal lehetősége van arra, hogy előre tervezhessen a fogászati beavatkozásokkal is.
A fogászati ellenőrzéseket érdemes – az egyéb egészségmegőrző szűrések mellett – beiktatni az életünkbe. A fogorvos rendszeres felkeresése egészségtudatos gondolkodásra vall. Ha egy évnél régebben járt fogorvosnál, érdemes részt vennie fogászati állapotfelmérésen.




Gyökérkezelés
Gyökérkezelés
A gyökérkezelést a fogmegtartó, sőt, fogmegmentő kezelések közé soroljuk, hiszen a kezelés segítségével elkerülhető a fog eltávolítása.
Milyen tünetek esetén kerülhet szóba a gyökérkezelés?
- A fog érzékennyé válik: hidegre-melegre, rágás során, valamint egyéb külső ingerekre.
- Ráharapás során kifejezetten fájdalmat érzünk, ezért például kerüljük a rágást azon az oldalon
- Nem érzünk fájdalmat, de kontrollvizsgálatkor röntgenen a fog körül elváltozás látszik
- A fog nagyobb darabja letörik
- Feltűnő elszíneződés a fogon, mely a többi fogat nem érinti
- Kisugárzó akut fájdalom esetén amennyiben az fog eredetű
- Fogpótlások előkészítése során megnyíló fogbél esetén
Minden esetben több tényezőt vizsgálunk a javaslat megtétele előtt, amennyiben a kiváltó ok megszüntetésére és a fog megtartására is alkalmas a gyökérkezelés, elsőként választandó terápiának ezt javasoljuk.
Hogyan zajlik a gyökérkezelés?
- A fogorvos érzéstelenítés után megnyitja a fogat a rágófelszín felől. A gyökérkezelések gyakran abszolút izolálásban, kofferdam lepedő segítségével történnek.
- Eltávolítja a fogbélkamra tartalmát, felkeresi a gyökércsatornákat, ezeket tágítja, formázza, fertőtlenítő oldatokkal átmossa, majd kiszárítja.
- Első alkalommal gyakran ideiglenes, gyógyszeres töméssel látja el a fogat, mely a gyulladás csökkentésében és a fertőtlenítésben játszik fontos szerepet.Alkalmanként a gyógyszeres tömés cseréjére szükség lehet erősebb gyulladás, fennmaradó panaszok esetén.
- A gyökereket speciális gyökértömő anyaggal látjuk el.
- A fogorvos elkészíti a fog látható részének helyreállítását. Ez történhet töméssel, koronával, vagy betét készítésével.
Egy jól elvégzett gyökérkezelés az erősen fájó, gyulladt fogakat is képes hosszú évekre megtartani, és tünetmentessé tenni.



Korona és hídpótlások, kivehető pótlások
Korona és hídpótlások, kivehető pótlások
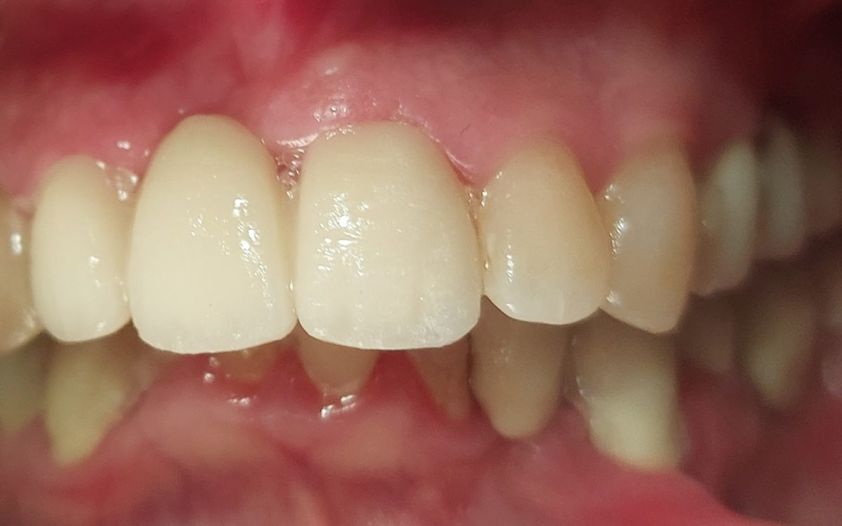
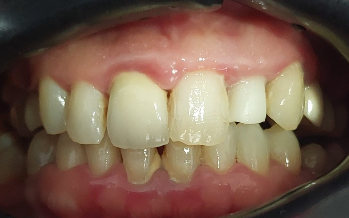
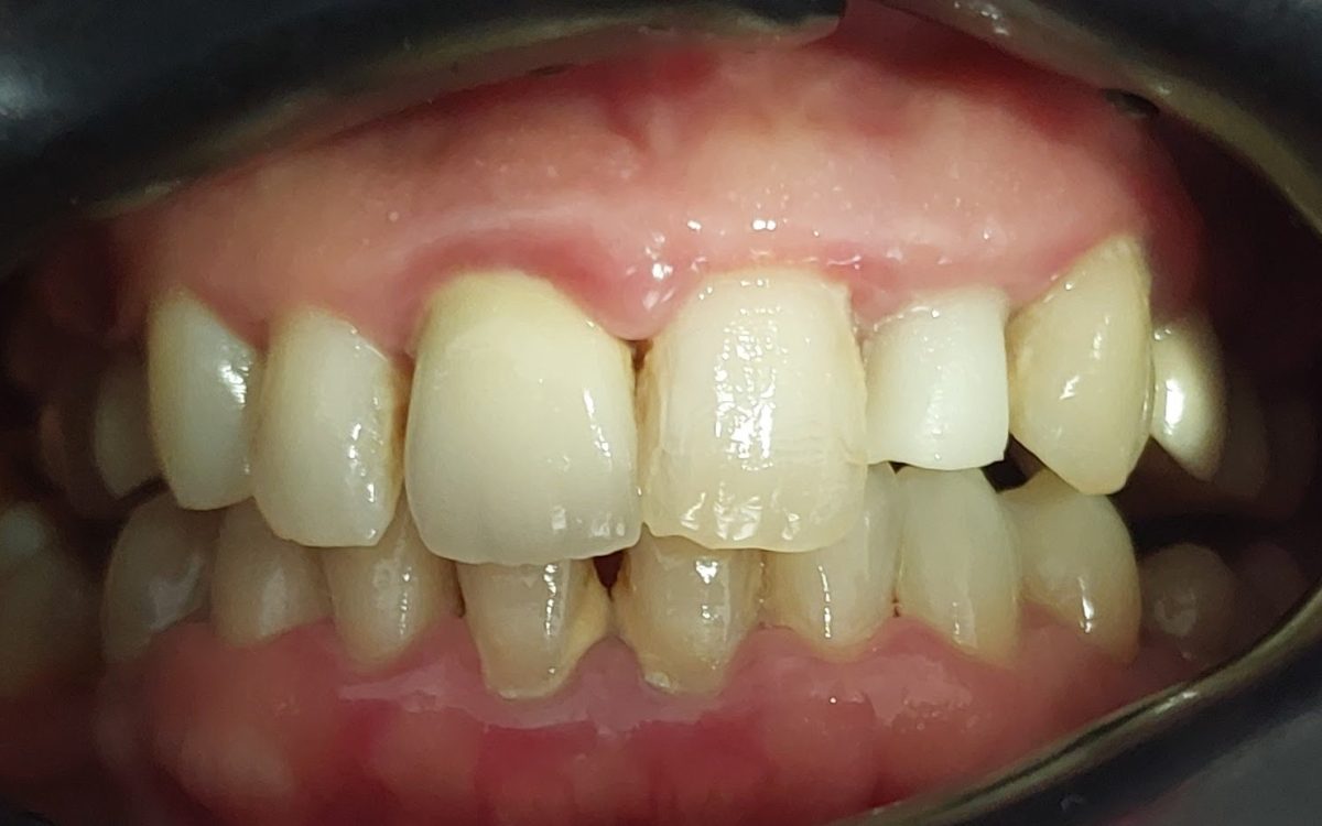
Fogászati korona
Hiányzó, sérült, vagy szuvasodott fogak pótlásának, helyreállításának egyik hagyományos és igen elterjedt eszköze a fogkorona.
Milyen esetekben lehet szükség korona készítésére?
- Kiterjedt szuvasodás vagy törés estén
- Gyökérkezelés után
- Elszíneződött, előnytelen formájú fogak esetében
- A fogak rágófelszínének nagyobb kopásai esetén
- Implantátumos fogpótlás esetén
Hogyan készül?
A fog vagy implantátum előkészítése után lenyomatot veszünk, melyet elküldünk a fogtechnikusnak, aki megkezdi a fogpótlás elkészítését az általunk választott anyagból. A pótlás elkészülése közben egyes munkafázisokban próbákat végzünk a pontosság és az esztétika megítélésére és tökéletesítésére. Az előkészítés és a korona átadása közötti időben sem hagyjuk a pácienst “fogatlanul”, ideiglenes koronával törekszünk a kezelések közötti fogérzékenységeket csökkenteni és az esztétikát fenntartani.
Ha a próbák sikeresek és a páciens is elégedett, a kész munka végleges rögzítésre kerül.
Típusai:
Teljes porcelán, préskerámia korona
Fémmentes fogpótlás, cirkon korona
Porcelán (fémkerámia) fogkorona
Fogászati híd
A fogászati híd a tartós fogpótlások klasszikus, jól ismert eszköze. A kettő, vagy több koronából álló fogmű kiválóan alkalmas a hiányzó fogak pótlására. A fogászati híd szerkezeti felépítését úgy kell elképzelni, mint egy folyó két partját összekötő hagyományos hidat. Azaz, statikailag legalább két ponton kell megtámasztani, hogy a szerkezet ne omoljon össze, továbbá elbírja a folyamatos terhelést. A fogpótlástanban is szükség van tartópillérekre. Pillérül általában természetes fogakat, de a technológia fejlődésének köszönhetően, egyre gyakrabban implantátumokat, azaz mesterséges foggyökereket is használunk. Anyagát tekintve lehet cirkónium vagy fém-kerámia.
Kivehető fogpótlások
Elvesztett fogaink pótlásának egyik legrégibb módja a protézisek, más néven műfogsorok alkalmazása. A protézis gyűjtőfogalom: a fogsor elkészítésének módja, a felhasznált anyagok, valamint a szájban való rögzítés módja is megkülönbözteti egymástól az egyes típusokat.
Minden protézis közös tulajdonsága, hogy kézi erővel, a műfogsor sérülése nélkül eltávolíthatók a szájból: bizonyos típusokat akár otthoni körülmények között is, másokat pedig fogorvosi segítséggel.
A műfogsorok fajtái:
- Teljes kivehető műfogsor
- Részleges műfogsor
- Overdenture fogpótlás – implantátumokon rögzített fogsor
Előnyök és hátrányok:
A műfogsorok előnyei:
- Gazdaságos
- Gyorsan elkészül, nincs hosszú gyógyulási idő
- Élethű, esztétikus fogpótlás
- Nem szükséges élő fogakat lecsiszolni
- Viselése és tisztítása egyszerű
A műfogsorok hátrányai:
- Az ínyt és a szájpadlást borító műíny egyes pácienseknek zavaró lehet
- Időbe telik hozzászokni
- Időnként javíttatás, karbantartás szükséges
- Alacsonyabb stabilitás és komfortérzet a rögzített fogpótlásokhoz képest
Fémkerámia korona előnyei:
- Kedvező ár/érték arány: a fémkerámiából készült fogpótlás a legkevésbé terheli meg a pénztárcát, és jó alternatíva a régi, alászuvasodott koronák vagy híd cseréjére.
- Esztétikus: ma már a fémkerámia fogpótlás színe is lehet olyan, mint a meglévő fogaké.
- Modern technológiával történik az előkészítés: a régi fémkerámia koronák egy idő után elkezdték irritálni az ínyt, ami begyulladt és a korona és a fogíny találkozásánál szürke ínyszél alakult ki. Ma már vállas előkészítést alkalmazunk, aminek a lényege, hogy az íny helyett a fogra támaszkodik a korona, így elkerüljük az évek múlva kialakuló csúnya hatást.
- Tartós, stabil, strapabíró: A fémkerámia pótlásnak a váza fém, a felszíne kerámia. A fémvázat évtizedek óta alkalmazzuk a fogorvoslásban, jó technológiával készítve sokáig biztonsággal haraphat elkészült koronáin.
A cirkon korona előnyei:
- Anyaga: cirkónium-dioxid, melynek nagyobb a fényáteresztő képessége a fémkerámia fogpótlásokhoz képest. Ez az anyag olyan erős vázat képez, mely miatt fogorvosi hidak készítésére is alkalmas.
- Nem tartalmaz fémet, emiatt fémallergiásoknak is ajánljuk.
- Tartós, stabil, strapabíró: a fémkerámia pótlásokkal vetekszenek mechanikai tulajdonságai
Préskerámia korona:
- A préskerámia korona kiemelkedő esztétikájával tökéletesen illeszkedik a saját fogak közé, róla még közelről nézve sem mondható el, hogy fogpótlással állunk szemben!
- Elsősorban frontfogak (metszőfogak) helyreállítására alkalmazzuk, akár gyökérkezelt fogak esetén is. Mivel a préskerámia korona váza is fogszínű, ezért erősen elszíneződött gyökérkezelt fog esetén elsőként belső fogfehérítést kell végeznünk.
- Elsősorban szólókoronát készítünk belőle, híd készítéséhez inkább a cirkonkoronát javasoljuk.
- fémmentes, ezért fémallergiásoknak is javasoljuk
- anyaga préselt porcelán, mely tartós, akár kemény ételeket (répa, dió) is bátran lehet vele harapni
- előkészítéséhez minimális foganyag veszteséggel kell csak számolni (1 mm)






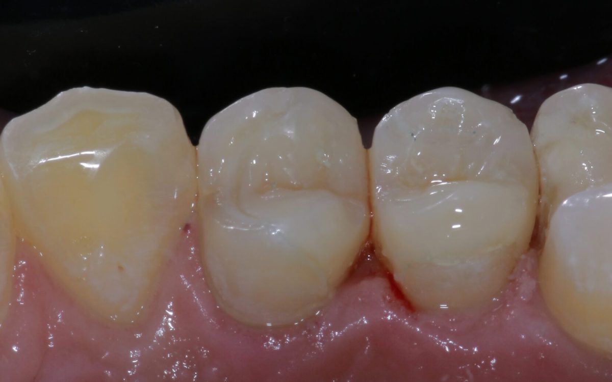
Fogtömés
Fogtömés
Esztétikus fehér fogtömés
A modern fogászati kezelések alapkövetelménye, hogy az elkészült kezelés: tömés vagy bármilyen fogpótlás esztétikus legyen, színében illeszkedjen a többi fog színéhez.
A fogak tömésére az alábbi esetekben lehet szükség:
- Szuvasodás a fogon, esetleg korábbi tömés mellett
- Fokozott fogkopás, fognyaki kopások
- Letört fogak
Hogyan készül?
Általában érzéstelenítésben történik a kezelés. Először is a szuvas fogrészt távolítjuk el, vagy ha van, akkor a korábbi fogtömést. A fog alapos kitisztítását követően sor kerülhet az új tömés rétegezési eljárással történő elkészítésére. A tömés a fog megfelelő izolálásával kezdődik, aminek segítségével elkülönítjük a kezelt fogat a száj többi részétől, ami nedvességmentes környezetet eredményez. Mivel a fehér tömőanyag érzékeny a nedvességre, ez az eljárás kiemelten fontos ahhoz, hogy a fogtömés a jövőben sokáig védje a fogat.A rétegezés színét a fog anyag színéhez igazítjuk, belül a dentin, kívül a fogzománc színét utánozva. A tömés fényre köt, vagyis az egyes rétegeket speciális lámpával világítjuk meg. Az elkészült új fogtömés külső, látható része nem csempefehér, nem matt, hanem lumineszcenciájában, átláthatóságában a valós fog anyagához hasonlít.
Amalgám tömés cseréje fehér fogtömésre
Sokszor találkozunk azzal az igénnyel, hogy a régi, amalgám töméssel ellátott fogtömések helyére fehér tömést szeretne a páciens. Egyrészt, ezek a tömések valószínűleg nagyon régiek, emiatt szükség lehet a vizsgálatukra, másrészt a nehézfémtartalmuk miatt is igény van a cseréjükre, ezért ezt szívesen vállaljuk. Eltávolításuk mindig abszolút izolálásban, kofferdam lepedővel történik, hogy a páciens szervezetébe jutásukat teljesen el tudjuk kerülni.
Az általunk készített fogtömések:
- esztétikusak, fehérek, fogszínűek
- formájukat illetően is élethűek
- strapabíróak
- szorosan, résmentesen illeszkednek a meglévő foganyaghoz, ezáltal – megfelelő szájhigiénia fenntartása mellett – az alászuvasodás esélye minimális
Letört fog, eltört fog ellátása élethű megoldással
Kellemetlen élmény, amikor a fog, amiről azt hittük, hogy örökké szól, hirtelen letörik.
Miért törnek le általában a fogak?
- Nem kezelt és nem észrevett szuvasság miatt
Sokszor olyan szuvasodások indulnak el a fogban, amelyet magunkon a tükörben, szabad szemmel nem látunk. A fog száj felöli oldalán, a szomszédos fog mellett is megbújhatnak a káros baktériumok, melyek szorgalmasan károsítják a fogat, egyre mélyebbre hatolva. Eközben pedig nem okoznak fájdalmat, érzékenységet. Ezeket gyakran csak állapotfelméréskor a röntgenfelvétel segítségével találhatjuk meg.
- Trauma, baleset miatt
Sajnos ez a típus elkerülhetetlen és bárkivel előfordulhat. Megelőzni nem, de kezelni kiválóan tudjuk ezt a helyzetet is!
Megtörtént a baj, letört a fog. Megoldási lehetőségek a helyreállítására:
- A lehetőségeink attól függnek, hogy:
- Milyen állapotban van eredetileg a fog (pl. szuvas-e, szükséges-e gyökérkezelés, van-e fogágygyulladás)? Ezért első körben egy röntgenfelvételt szoktunk készíteni, hogy a fog szabad szemmel nem látható részeit és környezetét is felmérhessük.
- Mekkora rész tört le a fogból? Minél nagyobb része hiányzik, annál többet kell pótolnunk. A letört fog ellátásakor az esztétika mellett a funkciót, a harapást is helyre kell állítanunk, tehát olyan megoldás kell kínálnunk pácienseinknek, mely hosszú távon működőképes.
- A letört fogak kezelési típusai:
- Élpótlás: Abban az esetben, amikor kis rész törik le vagy pattan le a fogból, helyben a rendelőben helyreállítjuk azt. Ilyenkor rétegenként felépítve, direkt héjat alkotunk, mely élethű lesz, és illik a mosoly egészéhez is. A direkt héjjal helyreállított fogak tartósak, bátran lehet velük harapni, emellett formájukban és színükben ugyanolyanok, mint az eredeti fog.
- Indirekt, préskerámia, porcelán héj: Bizonyos esetekben fogtechnikus segítségét kérjük a fog újra alkotásához. Ezen típusú héjaknál picit előkészítjük a fogat, majd lenyomatot veszünk, ami alapján a fogtechnikus elkészíti a héjat a következő alkalomra. Ezek a héjak is strapabírók, élethűek és természetes hatásúak.
- Esztétikus betétek: Rágófogak esetében nagyobb hiány esetén sokkal stabilabb megoldás, mint a direkt tömés, fogtechnikus segítségével készül.
- Korona – cirkon, préskerámia, fémkerámia: Abban az esetben, ha nagyobb rész hiányzik a fogból, a korona nyújt remek megoldást a számunkra. Itt is előkészítés és lenyomatvétel után fogtechnikus készíti el a koronát, melyet a páciens fogára rögzítünk. Tartós, bevált megoldás, mely a maximális odafigyelésnek és a kiváló anyagoknak köszönhetően élethű fogat eredményez.




Fogkőeltávolítás
Fogkőeltávolítás
Mi a fogkő?
A fogkő a fog felszínén, az ínyszél felett és alatt kialakuló kemény, elmeszesedett lepedékréteg. Jelenléte fokozza a fogszuvasodás veszélyét, az íny-, és fogágybetegségek kialakulását.
Professzionalis dentálhigiéniai kezelésnek azt a rutin eljárást nevezzük, melynek első lépése a fogkő eltávolítása, második pedig a fogfelszínek simává és csillogóvá polírozása.
A fogkő eltávolítás előnyei
- Azonnali hatás: a fogak optikailag világosabbá válnak a kezelés után
- A simára polírozott fogfelszínen nehezebben tapad meg a lepedék
- A rendszeres kezelés megszüntetheti a fogínyvérzést
- Csökken a fogszuvasodás kialakulásának kockázata
- Csökken az ínybetegségek kialakulásának kockázata
- Csökken a fogvesztés kockázata
- Megszűnik a fogkő okozta kellemetlen lehelet
Az ultrahangos fogkő eltávolítás menete
A kezelés során a fogkövet fájdalommentes eljárással távolítjuk el, amelyhez egy ultrahangos műszert használunk. A kezelés megkezdése előtt zselés érzéstelenítővel bekenjük az ínyt, mert célunk a fájdalom- és félelemmentes kezelés! Amennyiben Ön extrém érzékeny fogakkal rendelkezik, igény szerint a kezelést helyi érzéstelenítésben is végezhetjük.
Meglévő fogpótlások – koronák, hidak – esetén is szükséges a fogkő eltávolítás?
A koronák, hidak, műfogsorok viselési idejét jelentősen meghosszabbíthatjuk, ha ügyelünk arra, hogy ne kerüljön rá fogkő!
Az el nem távolított fogkő hosszútávú következményei
Amennyiben nem távolítjuk el rendszeresen a fogkövet, számos negatív következménnyel számolnunk kell:
Az ínygyulladás mellett csontpusztulás, fogágybetegség is kialakulhat, ami vérző fogínyt, kellemetlen leheletet és a fog idő előtti mozgathatóságát majd elvesztését okozza.
Ezen kívül a szájüregben kialakult idült gyulladás és az ott megtelepedett káros baktériumok más szerveinket is veszélyeztethetik: a gyulladás gócként funkcionálhat!
Airflow fogtisztítás
Ennek a speciális tisztításnak az az előnye, hogy gyengéden, de ugyanakkor mégis hatásosan tisztítja meg a fogakat a szennyeződéstől, felületi elszíneződésektől. Az Airflow készülékkel nagy nyomáson apró sószemcséket, vizet és levegőt fújunk az érintett fogakra. A beavatkozás nem károsítja a fogzománcot.



Fogfehérítés
Fogfehérítés
A fogak elszíneződésének hátterében számos ok állhat, legtöbbször azonban a fogkő, illetve bizonyos gyógyszerek hatására válhat sárgássá a fogazat. Emellett az erős színezőanyagot tartalmazó ételek és italok, például kávé, kóla, tea és vörösbor rendszeres fogyasztása is nyomot hagyhat rajta. Napainkban a számtalan, otthon is elvégezhető fogfehérítő módszer mellet kétségtelenül a szakember által felügyelt a leggyorsabb, legegyszerűbb és legbiztonságosabb. A fogak fehérítésére peroxid tartalmú anyagokat használunk, de a hatásfok minden esetben a felhasznált anyag koncentrációjától függ.
Tudnivalók a fogak rendelői fehérítése előtt
- Minden esetben konzultáció szükséges előtte
Az elszíneződött fogakat mindig felmérjük, illetve meghatározzuk az elszíneződés okát is. Fontos részt venni a konzultáción, hiszen itt kapják meg a kezeléshez nélkülözhetetlen információkat. A fogfehérítés lehetőségéről is itt születik döntés, hiszen a szuvas fogakat nem szabad fehéríteni, ezeknek előzetes kezelése szükséges a beavatkozás előtt.
Fogfehérítés előtt minden esetben szükséges a fogak alapos megtisztítása, a fogkő és lepedékek eltávolítása!
- Élő vagy műfogak
Csak a páciens saját fogai lesznek világosabbak, a meglévő koronák, tömések, héjak nem. Amennyiben fogfehérítés előtt töméssel vagy pótlással rendelkezik, a fogfehérítés nem akadály, ám ebben az esetben cserélni kell az említett tömést vagy pótlást, ha a szín nagyon eltér a kezelés végén.
- Érzékenység
A kezelés után néhány napig eltérő fokú fogérzékenység léphet fel. Ez az érzékenység már a rendelőben és az érzékeny fogak kezelésére való fogkrémmel otthon is csökkenthető. Az érzékenység néhány nap múlva nyomtalanul megszűnik, de érdemes tudni róla.
- Tartósság
A fogfehérítés hatásának hossza, illetve a kialakított új fogszín tartóssága minden egyes páciens esetében egyedi. Erősen befolyásolják a kezelés tartósságát szokásaink és táplálkozásunk. A fogfehérítő kezelés után éppen emiatt 10-14 napig kerülni kell azokat az élelmiszereket és italokat, melyek színesek, mert ezek újra megfoghatják a kezelt fogakat. Ilyen étel és ital lehet a paradicsom, a vörösbor vagy a vörös húsok, egyes fűszerek. Az erős színezőanyagot tartalmazó ételek, italok rendszeres fogyasztása a későbbiekben is fokozza a visszaszíneződés esélyét. Abban az esetben, ha újra sötétedni kezdenek fogaink, a fogfehérítés megismételhető.
- Az eredmény
Fontos tudni, hogy a végleges fogszín a kezelés befejezése utáni 12-24 órában stabilizálódik, addig pedig a fogfehérítő folyamat nem zárult le.
A kezelés menete
Egy ajakvédő felhelyezése után a dentalhigiénikus egy speciális ínyvédő zselét visz fel az ínyre, melyet azután fotopolimerizációs (fényre kötő) lámpával szilárdít és ezáltal rögzít. Ezután következik a fehérítőzselé fogakra való felvitele, mely kb. 30 perc alatt fejti ki maximális hatását. Ezután a zselét lemossuk és egy újabb friss réteg kerül felkenésre , szükség esetén még további 2 alkalommal. A fehérítés befejeztével – mintegy érzékenységet gátló, csillapító – a fogakra egy fluorid tartalmú paszta kerül pár percre.
A kezelés után
A kezelés részeként egy érzékenységcsökkentő fogkrémet adunk, melynek használata minimum a kezelést követő 14 napban javasolt.
A kezelés után fokozottan kell figyelni az erős színezőanyagot tartalmazó, vagy nagyon savas ételek és italok kerülésére az első 10-14 napban. Ezek lehetnek:
- paradicsom, cékla, sárgarépa, bogyós gyümölcsök (áfonya, szeder, málna stb.), az ezekből készült szörpök, italok, ételek, lekvárok
- kávé, tea, vörösbor, kóla, csokoládé, szójaszósz, paprikás ételek
- curry és hasoló fűszerek
- szénsavas italok, citrusfélék.
Ha a kávéról nem tudunk lemondani, jó praktika szívószállal inni.
Világos színű, kevés festékanyagot tartalmazó ételek, mint pl. habarásos főzelékek, szárnyasok, kesudió, tejtermékek, tofu, fehér húsú gyümölcsök (banán, körte), tojás, krumpli, rizs megfelelő táplálékok lehetnek fogfehérítés után.



Fogeltávolítás
Fogeltávolítás
Bár minden esetben a maradó fogak megtartására törekszünk, előfordulhat olyan helyzet, amikor a fog állapota nem teszi lehetővé ezt:
- Kiterjedt gyulladás esetén, mely más kezeléssel elenyésző sikeraránnyal menthető, foghúzást javaslunk.
- Erősen mozgó, fogágybeteg fogak
- Gyökérkezelt fog esetén törés vagy ha visszatérő, esetleg megtartással kezelhetetlen fájdalmat okoz.
- Bölcsességfog eltávolítását amennyiben nincs helye a fogívben, és szövődményeket okoz(hat).
- Fogszabályozós kezeléshez, kezelhetetlen helyhiány esetén javasolt lehet némely fogak eltávolítása.
Az adott fog eltávolítása mindig előzetes vizsgálatot követően történik, ahol röntgenfelvételen is meggyőződünk arról, hogy a fog valóban menthetetlen.
Foghúzás előtt:
- A beavatkozás előtt érdemes kiadós étkezést beiktatni, mivel utána az érzéstelenítő hatása alatt a rágás tilos.
- Egy alapos fogmosás elengedhetetlen a kezeléshez, hogy a lehető legtisztább környezetben végezhessük a fogeltávolítást.
A foghúzás után:
Minden páciensünk kap egy kinyomtatott tájékoztatót a szükséges teendőkkel kapcsolatban, ezekből pár fontosabb pont a következő
- A szájüreg, és a fogak tisztán tartása, fokozott odafigyelés az általános szájhigiéniára
- Dohányzás, és alkoholfogyasztás kerülése
- Folyékony tejtermékek fogyasztásának mellőzése
- Kímélő, nem túl fűszeres, könnyedén megrágható és nem túl forró ételek fogyasztása
- Nehéz fizikai munka kerülése
- A seb szívogatása, erőteljes öblögetés szigorúan tilos!
Hiányzó fogak jelentős részének pótlása feltétlenül szükséges, ezekről és pótlásuk elmaradásának következményeiről minden esetben tájékoztatjuk páciensünket az egyéni fogazati állapot ismeretében.




Implantátum
Fogászati Implantátum
Az implantátum egy titániumból készült foggyökér formájú csavar, amit a foghiány helyére ültetünk be az állcsontban. Becsontosodása után kerül rá egy implantátum felépitmény és arra a fogpótlás, vagyis a korona. Jelenleg az egyik legmodernebb fogpótlási megoldás.
Implantátummal egy, vagy több fogat is lehet pótolni. Előnye, hogyha csak egy foghiány pótlására van szükség, akkor a mellette lévő fogakat nem kell lecsiszolni, mint a hagyományos pótlások esetében. Több foghiány esetén 2-4-6 implantátummal már 3 fog hiányától egész fogatlanságig pótloható a fogazat. Léteznek olyan implantátumok is, melyek a fogsorok stabilitását javítják.
A fogbeültetés, a teljes gyógyulási folyamatot figyelembe véve, nem tartozik a rövid kezelések közé. A gyógyulási időszak legalább 4 hónap.
A fogászati implantátum behelyezéséhez a megfelelő szájhigiénia elengedhetetlen. A műtéti területnek minden esetben gyulladásmentesnek kell lennie, így a beavatkozás előtt el kell látni az esetleges problémákat, el kell távolítani a fogkövet és meg kell szüntetni mind az íny gyulladását, mind a kemény szövetekben fellelhető gyulladásokat.
Fogászati Implantátum behelyezésének lépései:
- Konzultáció, amihez CBCT felvétel szükséges az implantátum(ok) pontos helyének beméréséhez
- Kezelési tervet készítünk, amit részletesen megbeszélünk, és ha minden feltétel adott, akkor megbeszéljük az implantátum behelyezésének időpontját.
- Beültetjük az implantátumo(ka)t, ami után minimum 4 hónapos gyógyulási időszak következik.
- A gyógyulási idő letelte után az íny alatt lévő implantátumokat feltárjuk. Gyógyulási csavart helyezünk be, mely segít az implantátum körüli íny formázásában.
- Egy lenyomati fej segítségével lenyomatot veszünk.
- 2-3 próba után az implantátum fejre kerül a végleges, fogtechnikai labor által készített pótlás (korona, híd), ami általában további 1,5-2 hetet vesz igénybe.
- A fogászati implantátum hosszú távú tartósságának feltétele a páciens tudatossága és odafigyelése a tökéletes szájhigiénia fenntartására. A pácienseinknek fél évenként ajánlott kontrolvizsgálaton megjelenni, ilyenkor lehetőség van a szájhigiénia állapotának felmérésére, szükség esetén javítására.






bölcsességfog
Bölcsességfog eltávolítása
Bölcsességfoga manapság már nem mindenkinek van, de sajnos még gyakorta előfordulnak. Sokszor későn, általában felnőttkorban bújnak elő, esetleg elő sem bújnak. Amennyiben panaszt okoznak, eltávolításukra sor kerül teljesen egészséges fogazatú embereknél is.
A bölcsességfognak nem kell szuvasnak, tömöttnek vagy töröttnek lennie ahhoz, hogy komoly fájdalmat vagy problémát okozzon. A legtöbb esetben maguk a fogak teljesen egészségesek, azonban az állcsontban nincsen elegendő hely számukra, ferdén fejlődnek, így torlódást, szuvasodást idézhetnek elő a szomszédos fogakon, vagy feszítést, gyulladást, csont felszívódást váltanak ki a környező szövetekben. A fentiek miatt legtöbbször a környező szövetek, fogak megóvása érdekében van szükség arra, hogy eltávolítsuk őket.
Preventív okokból fogszabályozás alkalmával javasolhatják eltávolításukat, a fogszabályozás eredményének hosszú távú sikeressége érdekében.
Bölcsességfog megtartásának lehetőségei:
- Hiányzó első és második nagyőrlő fog esetén
- Normál előtöréskor, ha az állkapocsban kényelmesen elfér.
- Amennyiben eltávolítása sokkal nagyobb rizikóval jár, mint megtartása és panaszmentes(mindenképpen röntgen vagy CT felvétel szükséges ennek megítéléséhez)
Bölcsességfog eltávolítás előtt és után ugyanazok a javaslatok, mint egyéb fogeltávolításkor:
- A beavatkozás előtt érdemes kiadós étkezést beiktatni, mivel utána az érzéstelenítő hatása alatt a rágás tilos.
- Egy alapos fogmosás elengedhetetlen a kezeléshez, hogy a lehető legtisztább környezetben végezhessük a fogeltávolítást.
- A szájüreg, és a fogak tisztán tartása, fokozott odafigyelés az általános szájhigiéniára
- Dohányzás, és alkoholfogyasztás kerülése
- Folyékony tejtermékek fogyasztásának mellőzése
- Kímélő, nem túl fűszeres, könnyedén megrágható és nem túl forró ételek fogyasztása
- Nehéz fizikai munka kerülése
- A seb szívogatása, erőteljes öblögetés szigorúan tilos!
Bölcsességfogak esetében hiányuk pótlása nem szükséges és orvosilag sem javasolt.




Fogászati héj
Fogászati héj
A fogászati héjak olyan vékony részleges ‘koronák’, amelyek a fogak külső felszínén rögzülnek. Alkalmazásuk leggyakrabban esztétikai okokból javasolt. Egyszerű és gyors megoldást nyújtanak olyan kisebb – nagyobb esztétikai kellemetlenségekre, mint az elszíneződések, a letört, megrepedt, vagy anatómiailag előnytelen formájú fogak. Két alapvető típusuk van: direkt és indirekt héjak.
Direkt héjak
A direkt héjakat egy ülésben készíti el a fogorvos. Tömőanyagot rétegezve élethűen kipótolja a hiányzó vagy letört fog részt, illetve kiegyenlíti az esetleges szabálytalanságokat. Pénztárcakímélőbb megoldás lehet, ám harapás szempontjából kevésbé ellenálló mint kerámiából készült, indirekt fajtája.
Indirekt héjak – préskerámia héjak
Ezen héjakat lenyomatvételt követően fogtechnikus készíti el. Elkészítésük foganyag kímélő, úgynevezett minimálinvazív eljárással történik. A végeredmény szintén élethű és strapabíró lesz. A hollywoodi sztárok mosolya egytől egyig az indirekt héjaktól lesz fehér és tökéletes.
Mikor érdeklődjön fogászati héj iránt?
- elégedetlen fogai színével
- fogzománca repedezett
- elülső fogából letört egy kis darab
- a fogain elszíneződések találhatók
- elégedetlen fogai formájával, méretével
- zavarják a fogai közötti rések
- fogai enyhén torlódottak, vagy szabálytalanok




Fog betét
Fog betét (inlay, onlay)
A betét olyan, fogtechnikus által készített esztétikus fogpótlás, mely a fog koronai részén helyezkedik el mint egy nagyobb tömés és bizonyos esetekben nagyobb védelmet képes nyújtani, mint a fogtömés. Betéteket a kis-és nagyőrlő fogakra helyezhetünk! Élethű, strapabíró és megfelelő szájhigiénia mellett sokáig képes védeni a fogat.
Abban az esetben készítjük, amikor a tömés már nem tudná ellátni a fog védelmét.
Ilyen esetek például:
- sok szuvas részt kellett eltávolítanunk a koronai részből
- mély szuvasodás után kezeljük a fogat
- régi, nagy kiterjedésű fogtömést cserélünk
- gyökérkezelt fog koronai részét szeretnénk megóvni
- olyan felületekről kellett foganyagot eltávolítani, ahol az új fogtömés nagy eséllyel letörne harapás közben
Hogyan készül a fogászati betét?
Miután megállapítottuk, hogy tömés helyett betétre lesz szükség, lenyomatot veszünk. Ez alapján a fogtechnikus elkészíti a betétet, amit kb. egy hét múlva rögzíthetünk a fogra. Ezt a fogra próbálva még igazíthatjuk – pl. elvehetünk a magasságából, ha páciensünk így érzi kényelmesnek. A lenyomat és a kész betét közötti időre ideiglenes betétet helyezünk a fogba, hogy érzékenyésgét csökkentsük és stabilitását megpróbáljuk a végleges pótlás érkezéséig megóvni.
Milyen anyagú fog betétek léteznek?
- Kompozit üvegszál megerősítéssel
- Mikrokerámia szemcsékkel megerősített kompozit
- Préskerámia anyagú
Mi a különbség a betét és a korona közt?
Mindkét fogpótlást fogtechnikus készíti, azonban lényeges a különbség a betét és a korona között! Míg a korona – nevéhez méltón – az egész fog koronai részt befedi, addig a betét mindössze „sapkaként” látja el a fog védelmét. Vagyis koronát akkor készítünk, amikor több foganyag hiányzik a fogból, mint betét esetén.




gyermekfogászat
Gyermekfogászat
Gyermekeink fogai eredendően egészségesek, helyes fejlődésük, a helyes szájápolás korai elsajátítása, majd maradó fogaik egészségének megőrzése olyan feladat, amit jobb minél hamarabb megtanulni.
A gyermekfogászat során szerzett tapasztalatok, élmények alakítják a felnőttkori szájhigiéniát is.
A fogorvostól való félelem egyfajta rossz beidegződésű „örökségünk”. Az iskolai fogászatok ridegsége, és szüleink aggodalma nem maradt hatástalan. A mai felnőtt generáció nagyon gyakran tart a fogászati kezelésektől, részben ennek következménye az általánosan rossz fogászati kultúra: ma hazánkban a felnőttek 60-70%-a küzd fogágybetegséggel, melynek következménye a fogak elvesztése, sőt belső szervi panaszok is lehetnek.
Javasoljuk, hogy 2-3 éves korban kezdjük meg a fogászathoz szoktatást . Ebben a korban még nincs fogászati probléma, de ilyenkor van rá lehetőség, hogy ismerkedjenek az új helyszínnel, barátkozzanak az asszisztenssel és a fogorvossal. Ha majd később szükséges kezelés, már egy megszokott környezetben, számára ismert emberekkel találkozik, és a meglévő bizalom segít neki majd a kezelésben.
Szuvas tejfogak kezelése
Minden kezeléskor lehetőséget adunk a gyermeknek megismerkedni az eszközökkel, anyagokkal amelyek a beavatkozás részei lehetnek. Így nem alakul ki benne a félelem. Megérti, hogy mi és miért történik. Fontosnak tartjuk esetükben a türelmes hozzáállást, mely kulcsa lehet a sikeres kezelésnek.
Noha a tejfogak ideiglenesek, mégis fontos feladatot látnak el. A rágás, erőteljes harapás, az állcsont és az arcizmok, sőt a beszéd, kiejtés helyes fejlődésében vesznek részt.
A tejfog betegségeire legegyszerűbb módszer a prevenció! Amennyiben mégis megtörténik a baj, több lehetőségünk van a probléma megszüntetésére:
A szuvas rész eltávolítása után fogszínű, esztétikus, fehér tömőanyaggal fedjük be a „lyukat”, így óvjuk a fogat, és segítünk abban, hogy ellássa a feladatát.
A tejfog is rendelkezik gyökérrel, belsejükben ugyanúgy idegszálak futnak, amelyek a fog életben tartásáért felelnek. Abban az esetben, amikor a gyulladás olyan mértékű, hogy a szuvasságot okozó baktériumok a fog belsejébe jutottak, gyökérkezelésre van szükség. A maradó fogakhoz képest azonban kicsit eltérő ez a kezelés, hiszen a tejfogak gyökerei a fogváltáskor felszívódnak.
Bár leggyakrabban a fogváltáskor fellépő visszamaradt tejfogacskák eltávolítása történik, sajnos egyes esetekben a fog állapota vagy a gyulladás mértéke miatt is lehet rá szükség.



